ボロボロの歯の改善

キービジュアル

月額 1.2万円~ (税込)

歯が「ボロボロ」の方へ
一緒に綺麗にしませんか

  • 「トラウマ」が原因で、歯医者に行けなくなった
  • 「口の中」を診られるのが恥ずかしい
  • 治療時の「痛み」が我慢できない
  • 「不必要な治療」をされそうで怖い 

歯がボロボロになってしまった方の多くが
残念ながらこのような悩みを抱えています。
しかし、あきらめないでください。
当院では上記の悩みを解消できる環境が整っておりますので、
お気軽にご相談にいらしてください。 

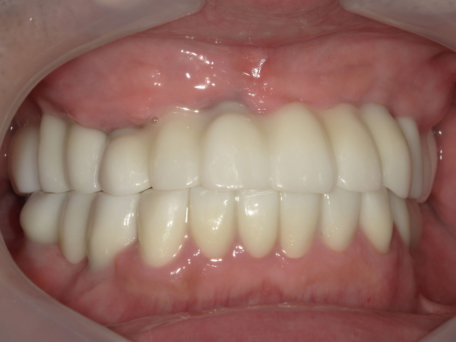
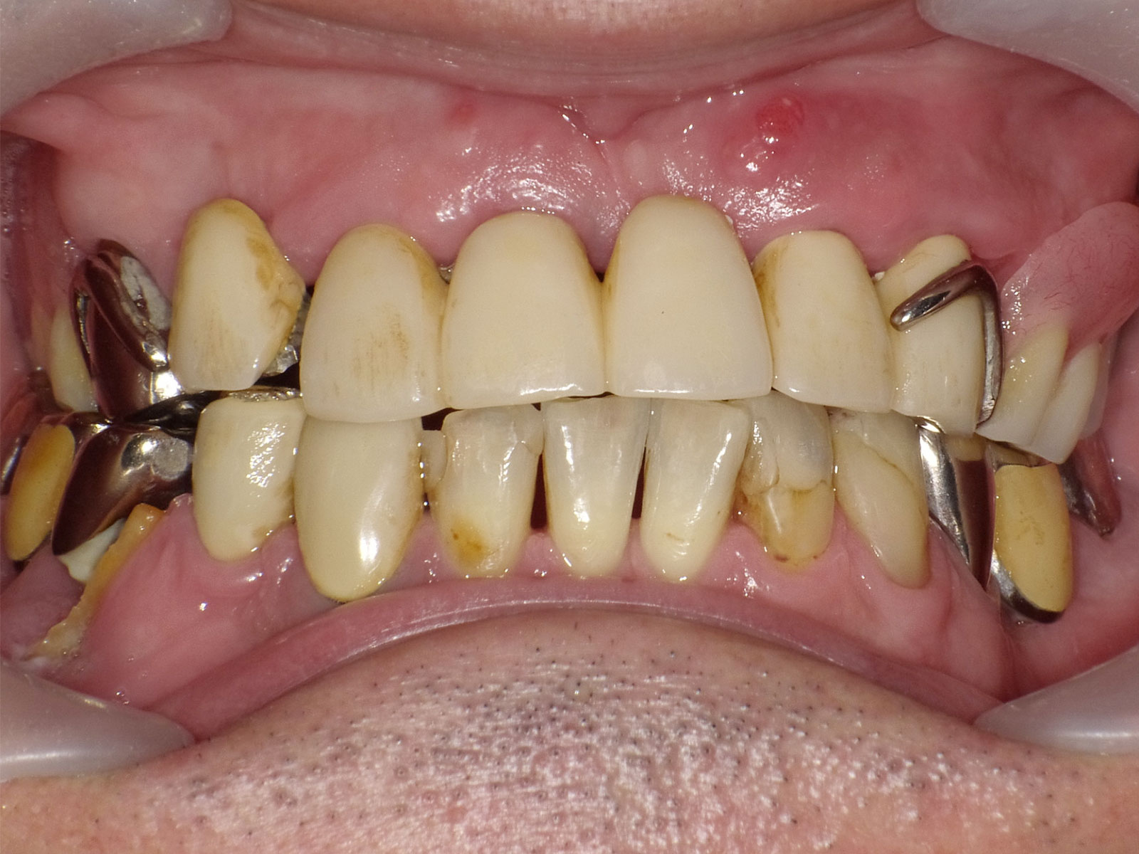
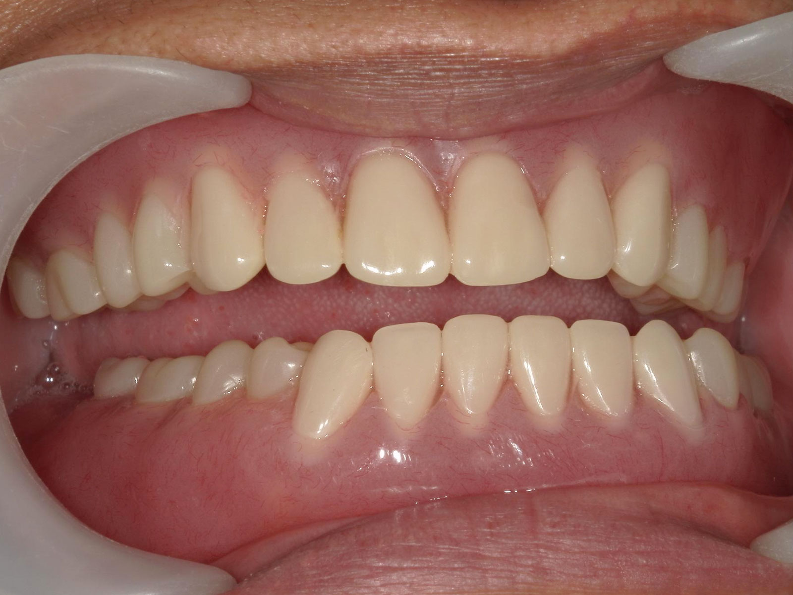
  • 治療前
  • 治療後
  • 治療前
  • 治療後
  • 治療前
  • 治療後
  • 治療前
  • 治療後
  • 治療前
  • 治療後

あなたの「痛み・恐怖心・不信感」を解消!

画像

歯がボロボロになってしまう原因は人それぞれ異なります。
虫歯や歯周病になりやすい体質の方もいらっしゃいますが、
みなさんに共通している原因が「過去の歯医者のトラウマ」のようです。

画像

・治療時の痛みが我慢できなかった
・話を聞いてもらえなかった
・無駄な治療をされてしまったなどなど 

これらは全て歯科医院側の取り組み次第で改善できるものです。

当院では、患者さんがこのような悩みを抱かないような取り組みを積極的に行っています。 

 

以下は、「治療時の痛み不快感の軽減説明責任」「短期集中治療」「プライバシーへの配慮についてです。

「治療時の痛み」への配慮/「睡眠無痛治療」にも対応 

画像

治療時の不快感や麻酔注射時の痛みは嫌なものです。多くの人がそう感じるでしょう。
当院では、患者さんの状況に応じて「2STEP麻酔法」や「静脈内鎮静法」など、痛みへの配慮を行っておりますので詳しくご説明いたします。

『2STEP麻酔』で痛みを軽減

  • 画像

    注射時の痛みを軽減するために、歯肉に麻酔液をしみ込ませる表面麻酔を行っています。

  • 画像

    電動麻酔注射を使用することで、麻酔液の注入速度を一定に保ち、痛みを和らげます。 

この他にも、麻酔液を温めたり極細の針(33G)を使用したりして、痛みを軽減しています。患者さんによっては、注射に気づかない方もいらっしゃいます。

「睡眠無痛治療」で寝ている間に治療終了

画像

歯科治療に対して恐怖が強い方には「睡眠無痛治療(静脈内鎮静法)をお勧めしています。痛みや恐怖心のない状態(眠っている状態)で手術を行います。
鎮静薬を使用することで、わずか数分でほぼ眠っている状態になる方法があります。治療中には、ほとんど記憶がないため、痛みや音、振動などを感じることはありません。

多くの方が「気づいたら治療が終わっていた」とおっしゃいます。 

次のような方にお勧めしています。

「歯科恐怖症」の方
・「嘔吐反射」が強い方
・「ストレスなく」治療を終えたい方
「短期集中治療」を希望される方

ご納得いただけるまで説明し、不必要な治療は行いません 

画像

医療行為は患者さんの身体に介入するため、すべての決定権は「患者さんにあります。患者さんは医療に関して素人であるため、私たちは患者さんが理解し納得するまで、丁寧に説明する責任があります。

私たちプロの視点からは、時には「不要」と判断される治療も存在します。

画像

利益追求や担当医のやってみたい治療を勝手に行うのは避けるべきです。

当院では、患者さんに対して事前に明確な「治療計画」を作成し、その必要性や所要期間などを根拠を提示しながら丁寧に説明しています。
少しでも疑問に思われたことがあれば、何でもご質問ください。どんなことでもお応えいたします。

「短期集中治療」について 

画像

歯医者にトラウマを持つ方にとっては、治療を早く終えたいと思うものです。
そのため、当院では、治療期間を短縮するために、1回の
治療時間を長めに確保し、精密な機器を効果的に活用して「短期集中治療」を実施しています。

具体的には以下の取り組みを行っております。

1回の治療時間を長くとる

画像

最初に、綿密な治療計画を作成します。この方法により、どの治療が一気にまとめて行えるかが判明します。通常複数回の来院が必要な治療でも、1回の来院で済ませることができ、全体の治療期間が減らせます。

精密機器の活用 

画像

歯科用CTや光学印象、CAD/CAMなどを活用することで、被せ物などを短期間で作成し、治療期間を短縮することができます。

歯科技工士との緊密な連携

画像

当院には院内に技工ルームがあり、歯科技工士が常駐しています。歯科医師や患者さんと緊密な連携を取りながら被せ物などを作成しています。そのため、被せ物などが完成したらすぐに患者さんの口にセットできる環境を整えています。

「個室」と「プライバシー」への配慮

画像

お口の状態によっては、他の方にはお話を聞かれたくない方もいらっしゃると思います。お客様のプライバシーを守り、安心してご利用いただけるように、当院ではご相談や治療も可能な「個室の診療室」をご用意しております。

専門医による「チーム医療」

画像

ボロボロの歯を治療するには「包括治療」が必要です。これは経験と診断力、高い技術力が求められるため、どの医院でもできるものではありません。
当院では、各分野の専門知識を持つドクターが揃っており、総合治療がスムーズに行える環境が整っています。

 

歯がボロボロの方へ伝えたいこと

歯の問題は、口内の問題にとどまらず、身体の健康にも関わります。
歯がボロボロの状態では、噛み合わせが悪くなり、頭痛、腰痛、肩こりなどが引き起こされることがあります。
また、歯周病は次のような病気に関連しているとも言われています。

画像

・糖尿病
・早産/低体重児出産
・肥満
・心筋梗塞脳梗塞

そして、歯が原因で塞ぎがちになっていたり、人とのコミュニケーションが嫌になっていたりと、「患者さんの心にも影響を与えていませんか?

歯科医院で適切な治療を受ければ、どんなに今「ボロボロの歯」でも綺麗になります。
当院では、治療を強く勧めることはありません。
最終的な判断は、患者さんの意思にお任せします。
ぜひ、当院をまずは「感じ」にいらしていただければと思います。

初診「個別」相談へのご案内

当院では、患者さんが抱えていらっしゃるお口のお悩みや疑問・不安などにお応えする機会を設けております。どんなことでも構いませんので、私たちにお話ししていただけたらと思います。
ご興味がある方は下記からお問い合わせください。

  • 宇都宮本院(アピタ2F)

    028-615-1182
    24時間WEB予約
  • 足利医院(アピタ2F)

    0284-73-4182
    24時間WEB予約

このページの先頭に戻る